fevereiro 5, 2026

2 RG Consultoria Jurídica e Imobiliária

Os mais atuais Artigos, Jurisprudências e Noticias Jurídicas você encontra aqui

Saiba como prevenir o câncer de pulmão, o que mais mata no Brasil.

Exame de rastreamento é feito com grupo de risco que são fumantes de 55 anos; nesta quinta-feira (1º) é o Dia Mundial do Câncer de Pulmão.

Quais são os sintomas do câncer de pulmão? Quando dá sintomas, é sinal de que já está avançado? O oncologista Rafael Kaliks, diretor clínico do Instituto Oncoguia, explica que os sintomas do câncer de pulmão vão desde falta de ar, tosse e escarro com sangue até sintomas relacionados a uma metástase, como dor óssea, dependendo de onde está localizada essa metástase. E, de fato, quando os sintomas aparecem e são decorrentes do tumor, é sinal sim de que a doença já está avançada.

A maioria dos casos são diagnosticados já em fase avançada? Sim. De acordo com Kaliks, a maioria já está em estádios 3 ou 4. Esse tipo de câncer acaba sendo diagnosticado quando dá sintoma a não ser que se ache, incidentalmente, uma lesão durante exame de imagem realizado por outra razão, como infecção. Ele ressalta hoje se faz rastreamento em pessoas com alto risco do tumor que são fumantes que já atingiram 55 anos de idade e que fumaram por pelo menos 30 anos. Nesses casos, é possível detectar tumores mais precocemente.

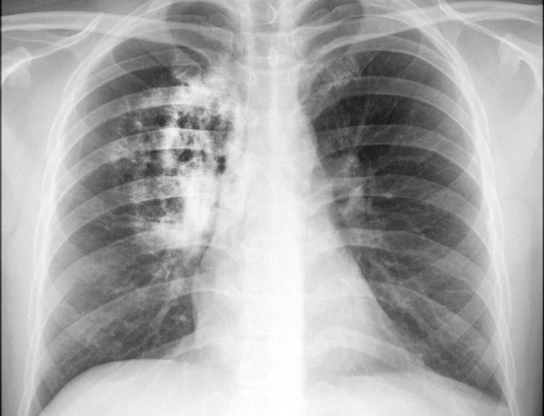
Como é feito o diagnóstico? Primeiramente é feito um raio X e se houver suspeita de câncer, ela será confirmada com uma biópsia. O oncologista afirma que não existe diagnóstico de câncer de pulmão sem biópsia. O procedimento pode ser tanto por broncoscopia, no qual um catéter é inserido pelo nariz ou pela boca do paciente até a árvore brônquica ou por biópsia guiada por tomografia por meio da parede torácica. As metástases podem ser biopsiadas com uma técnica chamada de imunohistoquímica, que confirma que a origem da metástase foi o câncer de pulmão.

Qual a chance de cura do câncer de pulmão hoje? Depende do estadiamento, que é a extensão da lesão, ou seja, tamanho do tumor, presença e ausência de linfonodos comprometidos e presença ou ausência de metástase, além do subtipo de câncer de pulmão, segundo o médico. Ele explica que estádios 3 ou 4 de câncer de pulmão relacionado ao tabagismo apresenta baixa chance de cura, de menos 20%. Já quando se trata de não fumantes que desenvolveram algum tipo de câncer de pulmão, esses tumores costumam ter progressão mais lenta. “Quando são menores, são operados e bastante curáveis”, afirma.

A mortalidade está diminuindo? Kaliks afirma que, no Brasil, ao relacionar casos diagnosticados e mortes por ano, 80% das pessoas diagnosticadas com o câncer de pulmão virão a morrer em decorrência da doença. “Esse é um número aproximado. Em países desenvolvidos, está reduzindo. A proporção de mortalidade sobre incidência vem diminuindo graças a um diagnóstico mais precoce e tratamentos mais eficazes”, explica.

Os tratamentos para esse tipo de câncer, então, avançaram bastante? Sim, segundo o oncologista, desde o advento da imunoterapia. Antes disso também. Já existiam drogas orais para tratar um subgrupo de câncer de pulmão com determinadas mutações ativadoras de certos gene. Ele explica que, quando existem algumas mutações específicas do gene EGFR e a doença é metastática, é possível tratar com terapia-alvo. E quando existe uma mutação envolvendo o gene ALK, esse tumor metastático pode ser alvejado com drogas orais.

Qual o maior avanço no tratamento? O maior avanço é a imunoterapia, aponta o médico. Ela é utilizada tanto em doença localmente avançada e inoperável, junto com radioterapia e quimioterapia, quanto em doença metastática. “Nesse caso, ocorreu uma verdadeira revolução porque quando associada à quimioterapia, ela é melhor que a quimioterapia. Hoje, praticamente todos os tipos de câncer de pulmão não pequenas células têm uma indicação em algum momento de imunoterapia”, afirma.

Qual o risco de um fumante ter câncer de pulmão? O oncologista explica que a minoria dos fumantes irá desenvolver câncer de pulmão. “Mas, mesmo que seja 10% ou 5% isso é um número imenso da população, porque existem muito fumantes”. Ele ressalta que hoje menos de 10% dos brasileiros fumam, mas em outros países esse número está crescendo. “Conforme diminui o tabagismo, a chance de câncer de pulmão reduz significativamente”, diz

Se uma pessoa fumou cerca de 20 anos e larga o cigarro. Mesmo assim ela continuará apresentando risco a esse tipo de câncer? Acredita-se que 15 a 20 anos depois do término do tabagismo, a pessoa volte a ter um risco semelhante ao da população que nunca fumou, de acordo com Kaliks. Portanto, o risco de câncer de pulmão vai diminuindo gradativamente. “O ideal é que não se fume, pois os estímulos para as alterações celulares induzidas pelo tabagismo deixam de existir. Com a ausência desses estímulos, as células passam a não sofrer ataques que poderiam causar mutações genéticas que levariam ao desenvolvimento do câncer”, orienta.

Por que pessoas que nunca fumaram também podem desenvolver esse tipo de câncer? Cerca de 15% a 20% dos cânceres de pulmão não são causados pelo tabagismo, mas como consequência de mutação em células do pulmão, conforme explica o oncologista. Segundo ele, o mais comum é que ocorram em pessoas mais jovens do que a média do tumor em fumantes. É mais frequente em mulheres e mulheres asiáticas. Esse subtipo chama-se adenocarcinoma da subcategoria lepídico. “É um tipo de tumor com prognóstico melhor”, diz. Não é exatamente um nódulo, mas uma massa pulmonar. “Aparecem como uma manchinha na tomografia”.

Esse tipo de câncer pode ser hereditário? Não existem dados de hereditariedade em câncer de pulmão, de acordo com o médico. Ele explica que, embora existam alguns relatos de uma determinada mutação (a T790M) que acontece ao longo da evolução do câncer de pulmão relacionado à mutação do EGFR, que seria uma mutação adquirida e existem algumas famílias com a T790M hereditário, isso é uma minoria dos casos.

Esse tipo de câncer é o que mais mata no Brasil e no mundo? O oncologista explica que é o câncer quemais mata no mundo e, em relação ao número de mortes sobre diagnóstico, está entre os mais letais. “Por exemplo, o câncer de pâncreas é mais letal. Cerca de 90% dos pacientes irão morrer disso. Para pulmão, é um pouco menos, mas ainda assim é um dos mais letais”, afirma. Já o câncer de pulmão não relacionado ao tabagismo tem uma taxa de mortalidade menor, segundo o médico.

Please follow and like us:
Pin Share
Todos os Direitos Rerservados @2RGADVOGADOS | Newsphere by AF themes.
Social media & sharing icons powered by UltimatelySocial
Twitter
Instagram