A epidemia do coronavírus é o centro das atenções hoje, mas outras doenças bem comuns também preocupam sem causar tanto...
7 – SAÚDE
Cientistas descobriram um anticorpo monoclonal humano capaz de impedir que o vírus da Covid-19 infecte células cultivadas em laboratório. A...
Faltam máscaras para 10 mil profissionais, segundo Conselho Regional de Enfermagem Fonte |Agência Câmara de Notícias Médicos e enfermeiros cobraram...
Pesquisadores divulgaram boas notícias sobre um possível tratamento para o coronavírus nesta quarta-feira (29): há evidências de que o medicamento...
O brasileiro não está conseguindo pagar as suas contas e está sofrendo por isso. É o que mostra uma pesquisa...
País tem pouco mais de 40 mil pessoas infectadas com o novo coronavírus e 2.575 óbitos, além de 15 mil...
O que pessoas com artrite reumatoide, lúpus e outros problemas reumatológicos precisam fazer para se proteger do novo coronavírus. Fonte...
Uma revisão de estudos mostra o que realmente prediz o risco desse tipo de dor de cabeça se instalar de...
Cada vez mais surgem novos exemplares dessa classe de medicamentos. Entenda de onde eles vêm e como trabalham dentro da...
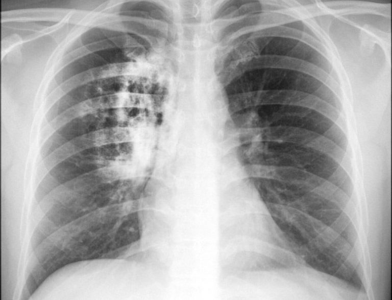
Exame de rastreamento é feito com grupo de risco que são fumantes de 55 anos; nesta quinta-feira (1º) é o...
Na Semana Mundial de Amamentação 2019 (SMAM), comemorada na primeira semana de agosto, o Ministério da Saúde lança campanha e...
Pouco conhecida, ela causa fraqueza muscular progressiva, limita a vida e pode passar batida pelos médicos. Conheça o quadro Por...
Cerca de 69% de todos os diagnósticos de câncer de mama são do tipo RH+/HER2-. Nessas situações, a doença é estimulada por...